Препараты для похудения помогают восстановить сердце после инфаркта

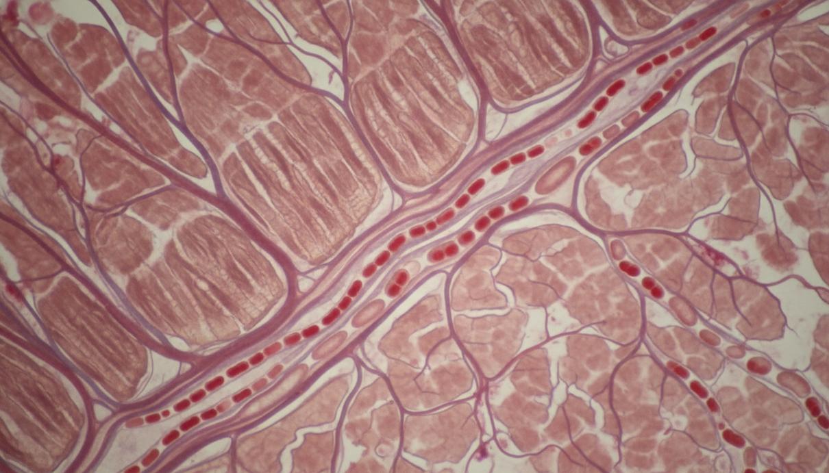
Сеть кровеносных капилляров в ткани сердечной мышцы под микроскопом, эритроциты возобновляют движение.
Лекарства, разработанные для снижения веса путем имитации гормона ГПП-1, могут играть ключевую роль в ограничении повреждений сердца после инфаркта. Новое исследование, проведенное учеными из Бристольского университета и Университетского колледжа Лондона, показало, что эти препараты способны снизить риск серьезных осложнений, которые развиваются почти у половины пациентов, перенесших сердечный приступ.

Результаты, опубликованные в журнале Nature Communications, открывают новую стратегию улучшения восстановления пациентов. Ранее уже было известно, что препараты на основе ГПП-1 снижают вероятность серьезных сердечно-сосудистых событий, причем этот эффект наблюдался независимо от исходного состояния здоровья человека или степени потери веса на фоне приема лекарств. Теперь ученые приблизились к пониманию биологических механизмов этого защитного действия.

Исследователи сосредоточились на осложнении, известном как феномен «no-reflow», или «невосстановленный кровоток». Оно возникает, когда даже после успешного открытия основной заблокированной артерии мельчайшие кровеносные сосуды в сердечной мышце остаются суженными, лишая часть ткани необходимого кровоснабжения. «Наши предыдущие работы показали, что это сужение сосудов вносит значительный вклад в развитие “no-reflow”, – объясняет ведущий автор исследования, доктор Светлана Мастицкая. – Это осложнение увеличивает риск смерти или госпитализации из-за сердечной недостаточности в течение года после инфаркта. Новые данные оказались для нас удивительными: препараты ГПП-1 могут предотвратить эту проблему».

В ходе экспериментов на животных моделях команда выяснила, как именно работают эти лекарства. Оказалось, что они воздействуют на особые сократительные клетки, перициты, которые окружают капилляры. Препараты активируют калиевые каналы, заставляя перициты расслабляться. В результате ранее сжатые кровеносные сосуды расширяются, и кровь снова может поступать к сердечной ткани, предотвращая дальнейшие повреждения. По словам соавтора исследования, профессора Дэвида Этвелла, это открытие подчеркивает огромный потенциал уже существующих и широко применяемых лекарств. Их перепрофилирование для лечения риска «no-reflow» может предложить новое, спасающее жизни решение для пациентов после инфаркта.

Мария Воронова

Мария Воронова – ведущий научный журналист, чьи статьи охватывают самые передовые исследования от глубин космоса до загадок человеческого разума и древней истории. В своих материалах для рубрики «Звездный бульвар» она подробно рассказывает о потрясающих астрономических открытиях, таких как обнаружение углеродной атмосферы у экзопланеты телескопом «Джеймс Уэбб» , создание детальной карты темной материи и разгадка тайны красных точек ранней Вселенной. Не менее увлекательно Мария освещает медицинские инновации в «Аптекарском переулке», где пишет о создании наночастиц для уничтожения белков рака и деменции , разработке метода выращивания Т-хелперов из стволовых клеток и о том, что здоровый сон влияет на долголетие куда сильнее физической активности.

Ее публикации в «Площади разума» раскрывают неожиданные секреты психологии и нейробиологии: например, связь трудностей с математикой с неумением учиться на ошибках , влияние скорости альфа-волн мозга на восприятие собственного тела и даже феноменальную способность сквернословия повышать физическую силу и выносливость. Журналистка также пристально следит за климатом и экологией в «Набережной стихий» и «Зеленой зоне», объясняя возможные последствия таяния льдов Антарктиды для океана , применение крошечных мхов в судебной ботанике и скрытую опасность домашних питомцев как переносчиков инвазивных плоских червей. Кроме того, Мария знакомит читателей с новейшими концепциями на «Проспекте металлургов», рассуждая о термоядерных реакторах как потенциальном источнике частиц темной материи , и исследует далекое прошлое в «Старом городе», описывая, как ДНК-анализ могил каменного века доказывает огромную важность расширенной семьи для древних людей.