
Распространенная респираторная бактерия, обычно вызывающая пневмонию и синуситы, может быть причастна к развитию болезни Альцгеймера. Исследователи из медицинского центра Cedars-Sinai сообщают, что хламидия пневмонии (Chlamydia pneumoniae) способна годами сохраняться в глазах и мозге, усугубляя повреждения, связанные с этим нейродегенеративным заболеванием. Новые данные, опубликованные в журнале Nature Communications, предполагают, что борьба с хронической инфекцией и воспалением может открыть путь к новым стратегиям лечения, включая раннее применение антибиотиков и противовоспалительной терапии.
Ученым впервые удалось доказать, что Chlamydia pneumoniae способна проникать в сетчатку – светочувствительную ткань в задней части глаза. Оказавшись там, бактерия активирует иммунный ответ, который тесно связан с воспалением, потерей нервных клеток и снижением когнитивных функций. Это делает глаз своего рода «окном в мозг», позволяя отслеживать патологические процессы неинвазивными методами.
«Обнаружение Chlamydia pneumoniae в тканях человека, клеточных культурах и на животных моделях позволило нам выявить ранее неизвестную связь между бактериальной инфекцией, воспалением и нейродегенерацией», – отмечает ведущий автор исследования, профессор Майя Короньо-Хамауи. По ее словам, это подтверждает, что бактериальная инфекция и хроническое воспаление в сетчатке могут отражать патологию мозга и предсказывать статус заболевания, делая сканирование сетчатки перспективным инструментом для выявления людей из группы риска.
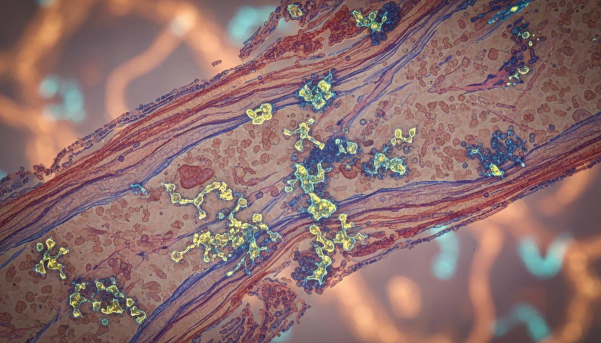
Исследовательская группа проанализировала образцы тканей сетчатки 104 человек с использованием передовых методов визуализации, генетического тестирования и анализа белков. Участники исследования включали людей с нормальными когнитивными функциями, с легкими когнитивными нарушениями и с диагностированной болезнью Альцгеймера. У пациентов с болезнью Альцгеймера был выявлен значительно более высокий уровень Chlamydia pneumoniae как в сетчатке, так и в мозге по сравнению со здоровыми людьми. Кроме того, большее количество бактерий коррелировало с более серьезными повреждениями мозга и худшими когнитивными показателями.
Повышенное содержание бактерий было особенно характерно для носителей варианта гена APOE4, который, как известно, значительно увеличивает риск развития болезни Альцгеймера. Чтобы дополнительно проверить эту связь, ученые провели эксперименты на культурах нервных клеток человека и на мышах с моделью болезни Альцгеймера. В обоих случаях заражение Chlamydia pneumoniae приводило к усилению воспаления, ускоренной гибели нервных клеток и ухудшению когнитивных способностей. Инфекция также стимулировала выработку бета-амилоида – белка, который образует бляшки в мозге людей с этим заболеванием.
В целом, полученные результаты указывают на то, что лечение затяжных бактериальных инфекций и вызванного ими воспаления может стать новым терапевтическим подходом в борьбе с болезнью Альцгеймера. Работа также укрепляет позиции использования анализа сетчатки в качестве неинвазивного инструмента для ранней диагностики и мониторинга этого тяжелого заболевания.