Американские кардиологи обновили рекомендации по контролю уровня холестерина

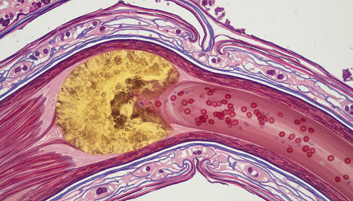
Поперечный срез кровеносного сосуда с желтыми отложениями холестерина на внутренних стенках
Американская коллегия кардиологов (ACC) и Американская ассоциация сердца (AHA) представили обновленное руководство по диагностике и лечению нарушений липидного обмена. Этот документ стал первым масштабным пересмотром клинических рекомендаций с 2018 года. Новые протоколы, опубликованные в профильных научных изданиях, направлены на максимально раннее выявление рисков и персонализацию терапии для снижения вероятности сосудистых катастроф.

В центре внимания специалистов находится контроль уровня липопротеинов низкой плотности (ЛПНП), известных как «плохой» холестерин, а также липопротеина(а). Эксперты подчеркивают, что накопление этих соединений ведет к формированию атеросклеротических бляшек, которые сужают просвет сосудов. Такие изменения могут спровоцировать инфаркт или инсульт. По данным исследователей, повышенный уровень ЛПНП наблюдается у каждого четвертого взрослого жителя США, что делает проблему одной из самых массовых в современной медицине.

Существенным изменением в руководстве стал призыв к раннему началу скрининга. Для пациентов с наследственной предрасположенностью к сердечно–сосудистым заболеваниям обследование рекомендуется начинать уже с девятилетнего возраста. Особое внимание уделяется генетически обусловленным состояниям, таким как семейная гиперхолестеринемия. Кроме того, врачам предлагается проводить хотя бы однократный в жизни тест на уровень липопротеина(а), высокая концентрация которого значительно повышает вероятность развития патологий сердца даже при нормальных показателях других липидов.

Вместо прежних моделей оценки риска, ориентированных на десятилетний прогноз для людей старше 40 лет, внедряется новый аналитический инструмент – PREVENT. Эта система позволяет рассчитывать вероятность развития заболеваний на горизонте 10 и 30 лет, начиная уже с 30–летнего возраста. Модель учитывает не только уровень холестерина и артериальное давление, но и дополнительные показатели, включая функцию почек и содержание сахара в крови. База данных для создания этого калькулятора охватила более шести миллионов человек, что значительно превосходит масштаб предыдущих исследований.

Руководство пересматривает целевые показатели ЛПНП в сторону их ужесточения. Для пациентов с умеренным риском оптимальным считается уровень ниже 70 мг/дл, а для группы высокого риска – менее 55 мг/дл. В дополнение к традиционным статинам терапевтические схемы расширены за счет современных препаратов, включая эзетимиб, бемпедоевую кислоту и инъекционные ингибиторы PCSK9. Эти средства особенно актуальны для тех, кто плохо переносит стандартное лечение или нуждается в более интенсивном воздействии для достижения целевых значений.

Несмотря на развитие фармакологии, эксперты сохраняют акцент на первичной профилактике. Считается, что до 90% случаев сердечно–сосудистых заболеваний связаны с факторами, которые поддаются изменению: питанием, физической активностью и отказом от курения. Индивидуальный подход теперь учитывает и специфические маркеры, такие как осложнения во время беременности, наличие системных воспалительных заболеваний или этническое происхождение пациента, что позволяет врачам более точно определять стратегию вмешательства.

Самал Сулейменова

Самал Сулейменова – ведущий научный обозреватель издания «Град науки», специализирующаяся на освещении передовых исследований в области физики, медицины, астрономии и древней истории. Особенное внимание в своей работе она уделяет сложным концепциям фундаментальной науки в рубрике «Проспект металлургов». Самал виртуозно объясняет читателям парадоксы квантовой физики, рассказывая о газе с идеальной проводимостью , топологических состояниях материи без частиц и эффекте Унру. В ее статьях можно найти ответы на самые нестандартные вопросы – от того, как физика пены подчиняется законам искусственного интеллекта , до неожиданной связи формул Рамануджана для числа пи с современной физикой. Также она пишет о создании «невозможных» молекул и программируемого пластика.

Не менее глубоко журналистка погружается в вопросы здоровья и биологии человека. В «Аптекарском переулке» Самал регулярно публикует материалы о лечении онкологических заболеваний, объясняя зависимость эффективности вакцин от их наноархитектуры и уязвимость раковых клеток перед аварийным ремонтом ДНК. Она исследует влияние эпигенетического атласа на разницу в иммунитете , первую подтвержденную смерть от клещевой аллергии на красное мясо и действенность физической активности при депрессии. Тайны работы центральной нервной системы Самал раскрывает в рубрике «Площадь разума», где делится открытиями о том, что у человека существует более двадцати различных чувств , а электрические сигналы мозга способны предсказать болезнь Альцгеймера за два с половиной года до появления симптомов.

Широкий кругозор позволяет журналистке создавать захватывающие материалы и для других разделов. На «Звездном бульваре» она рассказывает о хаосе ранней Вселенной , загадочных быстрых радиовсплесках из двойных звездных систем и уточненном составе атмосферы Юпитера. В «Старом городе» она описывает эволюцию человека через находки челюстей парантропа в Эфиопии и стратегии выживания древних людей за счет поедания падали , а также приводит химические доказательства широкого использования опиума в Древнем Египте. Экологические проблемы не остаются без внимания в «Зеленой зоне»: здесь выходят ее тексты об угрозе мегапожаров , сокращении пчелиных колоний из-за экстремальной жары и удивительной эволюции термитов.